Vil du være med?

Har du et barn som har fått diagnosen diabetes type 1 de to siste ukene, og kan tenke deg å være med på – eller er nysgjerrig på – DiViD Intervention Trial, kan du kontakte studiens daglige leder: Barnelege Lars Krogvold, lars.krogvold@gmail.com, tlf. 975 22 277.

Barnelege Lars Krogvold er daglig leder for studien.

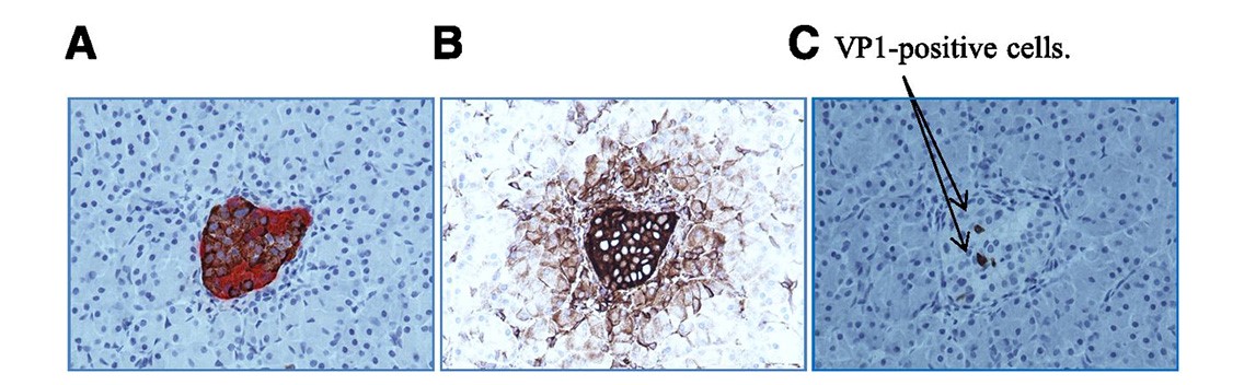
DiViD Intervention Trial er en forlengelse av DiViD-studien, der undersøkelser av vevsprøver fra bukspyttkjertelen viste enterovirus knyttet til betacellene hos alle de seks pasientene som deltok.

De unike prøvene er blitt analysert med ulike metoder og innfallsvinkler i rundt 20 ulike laboratorier verden rundt, og resultatene er entydige: tilstedeværelse av virus og en betennelse i vevet som passer med en såkalt lavgradig virusinfeksjon.

– Ja, resultatene viser at dette absolutt er noe å gi videre på, sier professor Knut Dahl-Jørgensen, som blant annet har fått ni millioner kroner fra Helse Sør-Øst til den oppfølgende intervensjonsstudien i regi av forskergruppen på Oslo Universitetssykehus, Ullevål.

Nordisk studie

Ti pasienter er allerede i gang med det som etter planen skal bli 96 pasienter fra Norge, Danmark og Sverige. Alle skal ta to miksturer morgen og kveld i seks måneder. Halvparten av pasientene får ett bredspektret og ett smalspektret antiviralt middel, den andre halvparten får narremedisin (placebo).

– Det store spørsmålet er om virus kan være en årsak til utvikling av diabetes type 1. Det vil vi få vite mer om når studien er avsluttet om noen år. Vi satser på å ha rekruttert alle deltakerne i løpet av 2019. Studien er godkjent også i Danmark og Sverige, og et stort forskningssenter i København er allerede med. I Sverige regner vi med at alle brikkene er på plass snart.

Sentrale Østlandet

PROFESSOR: Knut Dahl-Jørgensen er spent på resultatene av studien.

Foto: Erik M. Sundt

– Hvordan er det lagt opp i Norge?

– Av praktiske grunner vil vi rekruttere nydiagnostiserte pasienter med type 1 diabetes fra det sentrale østlandsområdet, og de må være i aldergruppen fem til 16 år. Pasientene må komme på minst fire studiebesøk på Ullevål det første året, og totalt minst seks i løpet av de tre årene. Reiseutgifter, og eventuell overnatting på hotell for de som bor langt unna, dekkes av Pasientreiser.

Egenmåling

Med insulinproduksjon som det absolutte hovedtemaet kan Knut Dahl-Jørgensen lansere noe av det som gjør en såpass omfattende og langvarig undersøkelse håndterbar: egenmåling av C-peptid.

C-peptid er et peptid som skilles ut fra bukspyttkjertelen sammen med insulinet. Det dannes ett molekyl C-peptid for hvert molekyl insulin, og dermed blir dette et godt mål for hva som faktisk produseres av insulin hos en som tar insulin.

– Kort forklart plasserer pasienten en bloddråpe på et trekkpapir som sendes til laboratoriet. Deltakerne vil selvsagt få nøye instruksjon i bruken, og de gangene det skal gjøres, skal det måles både før frokost og en time etter. Da får vi sjekket både fastende og måltidsindusert C-peptid, forklarer professor Knut Dahl-Jørgensen.